
- 1 : 2025/02/25(火) 17:47:48.06 ID:k20MJf440
-
気のせいか?
- 2 : 2025/02/25(火) 17:48:52.84 ID:+NhiIlyW0
-
ロキソニン最強だから
- 3 : 2025/02/25(火) 17:49:03.52 ID:rduhqmDU0
-
うん、確かに社会人になってから虫歯を放置してる人って意外と多いかもしれないね。忙しくて歯医者に行く時間取れなかったり、「まあ、痛くならないならいいか」って後回しにしちゃったりするのかも。実際、厚生労働省の調査だと、成人の約8割が何らかの歯科疾患抱えてるって話もあるし、放置してる人も結構いそう。君の周りでもそんな人いる?
- 19 : 2025/02/25(火) 17:56:29.11 ID:/MkAG7kN0
-
>>3
なんやこれ草 - 4 : 2025/02/25(火) 17:49:22.72 ID:Qsnw31aN0
-
死ぬほど痛くなるのにな
- 5 : 2025/02/25(火) 17:50:02.09 ID:/VnIhERzM
-
ワイは歯周病怖いからメンテナンス欠かしてない
- 6 : 2025/02/25(火) 17:50:32.08 ID:6lazcoH90
-
虫歯で前歯失ってるヤツ見ると「頭おかしいんやろなぁ」って思うわ
- 7 : 2025/02/25(火) 17:50:32.69 ID:boV+h1mg0
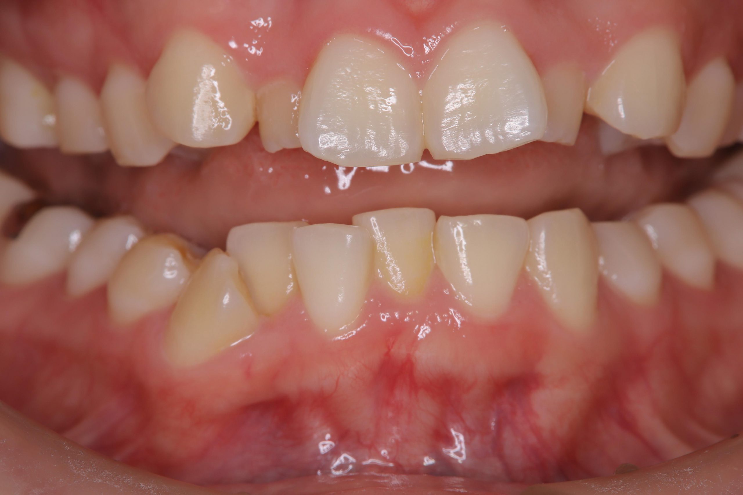
-
ワイ26歳、来月親知らず(虫歯侵食済み)を抜歯予定につきタイムリーなスレに歓喜
- 8 : 2025/02/25(火) 17:51:38.13 ID:KDlxhoFQ0
-
土曜とか2週間先になるからな
何でそんなに混んでんだ? - 9 : 2025/02/25(火) 17:51:42.55 ID:/VnIhERzM
-
神経死んでるとか言われた時の絶望感よ
- 10 : 2025/02/25(火) 17:51:47.01 ID:k3L6O5rO0
-
奥歯が欠けてるっぽいけど放置中
- 11 : 2025/02/25(火) 17:52:11.17 ID:UGNuvt560
-
通う時間無い
- 12 : 2025/02/25(火) 17:52:46.47 ID:VpAqGSsFr
-
昔から知覚過敏で最近歯医者行ったけど一本も虫歯ない言われて草生えたわ
- 13 : 2025/02/25(火) 17:53:02.37 ID:/VnIhERzM
-
歯磨き指導された時は腹立つけど実際そこに歯垢が溜まるんやなって思ってしっかり磨くようにした
- 14 : 2025/02/25(火) 17:53:38.20 ID:xlWYF7lA0
-
社会人名が多いからな
- 15 : 2025/02/25(火) 17:53:59.22 ID:JwhbN7u2M
-
ブラックは行く時間ない
- 17 : 2025/02/25(火) 17:55:01.20 ID:vlib6ObB0
-
>>15
歯磨きする時間もないそうだ - 16 : 2025/02/25(火) 17:54:42.53 ID:VpAqGSsFr
-
虫歯一本もないワイ、なお歯磨きが甘く歯垢が溜まりまくりやと指摘されたもよう
- 18 : 2025/02/25(火) 17:56:03.86 ID:vlib6ObB0
-
>>16
虫歯ならない体質なら定期的に歯科でクリーニングすればええだけや - 20 : 2025/02/25(火) 17:57:15.88 ID:H7tbHLaI0
-
GPTっぽい返事や
- 21 : 2025/02/25(火) 17:57:50.73 ID:QXL65MyP0
-
デンタルフロスって海外じゃ常識レベルやのに日本には浸透しないよな
- 22 : 2025/02/25(火) 17:58:50.40 ID:bg9a6RiP0
-
セラミック勧められるけどずっと銀歯だったから今更やし高すぎちゃうか
- 24 : 2025/02/25(火) 18:00:21.63 ID:QXL65MyP0
-
>>22
銀歯の人ってかなりみっともなく見えるし変えたい方がいいと思う - 23 : 2025/02/25(火) 17:59:37.52 ID:gn5MbdAd0
-
定期検診行ってるの少なそう
- 25 : 2025/02/25(火) 18:01:05.80 ID:VOTD8YOor
-
歯磨きなんか月2,3回くらいやけど虫歯なったことないわ
歯医者行かないから虫歯あるのか知らんけど痛くなったことはない - 26 : 2025/02/25(火) 18:02:25.21 ID:iWBIm/+D0
-
2、3回行って終わるんなら行くけどさ
- 27 : 2025/02/25(火) 18:04:54.96 ID:U7CckANC0
-
スウィングしたブランコが顔面に直撃して前歯折れた中1のとき
周囲にウケたので放置したら虫歯になったな
歯は大事
- 28 : 2025/02/25(火) 18:05:10.58 ID:gtbT+PuI0
-
キリがないんや
虫歯予防を若い頃よりやっても虫歯は増える一方やし - 29 : 2025/02/25(火) 18:06:23.57 ID:fknFSOJf0
-
めっちゃ歯茎や歯が痛いなって思って歯医者行くと全然虫歯じゃなくて困惑する
- 30 : 2025/02/25(火) 18:07:29.83 ID:hxA14ptE0
-
マジで行く時間がない
- 31 : 2025/02/25(火) 18:07:30.26 ID:I2iNozJya
-
日本の口腔意識は先進国で最下位やからな
- 32 : 2025/02/25(火) 18:07:46.50 ID:FYveJVxW0
-
最近の歯科治療て楽だよな
口開けるの疲れるくらい - 33 : 2025/02/25(火) 18:10:23.86 ID:dxClxxb40
-
歯垢取ってもらってたら虫歯あるでって言われてそのまま銀歯デビュー
- 34 : 2025/02/25(火) 18:11:40.98 ID:MfcM+tVE0
-
歯周病は全身疾患ですからね😟
口腔内で細菌を培養して全身に炎症をばらまくとか正気じゃない - 35 : 2025/02/25(火) 18:12:17.53 ID:QXL65MyP0
-
電動歯ブラシって結局どうなんかな
元々上手に磨けないような人が使っても意味ないとは聞くけど - 37 : 2025/02/25(火) 18:14:02.37 ID:/jD1eqpZ0
-
>>35
いいよ - 36 : 2025/02/25(火) 18:12:43.56 ID:iragsSxG0
-
虫歯ならない人は総じて歯周病菌が大量で口臭い
虫歯がないから口臭の意識はなくて自覚してないからタチが悪い



コメント